姫路でインプラント治療をご検討の方へ。
インプラントは、歯を失った部分の顎の骨に人工歯根を埋入し、その上に被せ物を装着して噛む機能と見た目の回復を目指す治療法です。テレビや雑誌で耳にする機会が増えていますが、具体的な内容や他の治療との違いは十分に伝わっていないこともあります。
歯を失うと、食事のしづらさや発音のしにくさ、笑顔に自信が持てないなど、機能面・審美面・心理面で負担が生じがちです。従来は「入れ歯」や、両隣の歯を削って橋渡しする「ブリッジ」も選択肢ですが、お口の状態によっては適さない場合もあります。
そのようなケースで、自立した1本として機能回復を図れるインプラントが有力な選択肢になります。
こんな方にインプラントは適しています。
- 新しく歯を入れるために新しく歯を入れるために健康な歯を削りたくない
- 入れ歯に抵抗がある、または作ったが違和感や噛みにくさが残る
- 見た目と噛む力の両立をできるだけ目指したい
- 会話や食事のときに口元を気にせず過ごしたい
特に当院のインプラント治療では
❶ 月々4,125円〜で治療が可能
※金額:495,000円の場合、デンタルローン120回払いにて
❷ 5年保証
※定期的なメンテナンスの受診が必要となります。
❸ 技工士在籍で短期間で治療が可能
常に院内技工士が在籍しており、一般的なインプラントと比較し、2週間〜1ヶ月短期で治療が完了いたします。 また、院内で確認ができるため、安心です。
症例によっては治療期間の短縮が見込めます。治療期間の目安は 下顎2ヶ月、上顎4ヶ月です。
手術は局所麻酔下で行い、多くの方が「思ったより痛みは少なかった」と感じられます。ただし感じ方には個人差があり、術後に腫れ・痛みが数日出ることもあります。当院では必要に応じて鎮痛薬の処方やケアのご説明を行い、不安の軽減に努めています。
インプラントは適切な診査診断と衛生管理、術式の選択が重要です。姫路の溝井歯科医院では、滅菌体制を徹底し、経験のある歯科医師がCT等の画像診断にもとづく計画を行います。無理のない治療計画と術後のメンテナンスまで含めてご説明し、合併症リスクの低減を図ります。
姫路 インプラント、ブリッジ、入れ歯それぞれの適応・メリット・留意点をわかりやすくお伝えし、患者さまの希望とお口の状態に合わせて最適な方法をご提案します。姫路でインプラントを検討中の方は、まずはお気軽にご相談ください。
そもそもインプラント治療とは
「インプラント」は、歯を失った部位の顎の骨にチタン製の人工歯根を埋入し、その上に被せ物(人工歯)を取り付けて、噛む機能と見た目の回復を目指す治療法です。名前は聞いたことがあっても、具体的な内容までは分からない——という方は少なくありません。
姫路でインプラント治療を検討中の方は、ぜひこのページをご覧ください。ブリッジや入れ歯と比べて、インプラントは“単独で歯を補う”のが大きな特徴です。
一方で、外科処置や治療期間、費用、メンテナンスなどの留意点もあります。治療の適否はお口の状態によって異なるため、正しい情報を知ったうえで比較検討することが大切です。
このページでは、インプラントの基本構造と治療の流れ、さらにメリットだけでなくデメリットやリスク、費用や期間、メンテナンスまで分かりやすく解説します。姫路でインプラントの選択を後悔なく行えるように、判断材料としてお役立てください。
「インプラント」は、歯を失った部位の顎の骨にチタン製の人工歯根を埋入し、その上に被せ物(人工歯)を取り付けて、噛む機能と見た目の回復を目指す治療法です。名前は聞いたことがあっても、具体的な内容までは分からない——という方は少なくありません。
姫路でインプラント治療を検討中の方は、ぜひこのページをご覧ください。ブリッジや入れ歯と比べて、インプラントは“単独で歯を補う”のが大きな特徴です。
一方で、外科処置や治療期間、費用、メンテナンスなどの留意点もあります。治療の適否はお口の状態によって異なるため、正しい情報を知ったうえで比較検討することが大切です。
このページでは、インプラントの基本構造と治療の流れ、さらにメリットだけでなくデメリットやリスク、費用や期間、メンテナンスまで分かりやすく解説します。姫路でインプラントの選択を後悔なく行えるように、判断材料としてお役立てください。
インプラントと他治療の違い
歯の治療にはインプラント以外にも複数の種類があります。では、インプラントと他の治療がどう異なるかを見ていきましょう。
まず、以下が3つの主要な治療になります。
①ブリッジ

②義歯

③インプラント

簡単に1つずつ説明しますと、
①ブリッジは、歯が抜けた部分の両隣りの歯を使って人口の歯を橋のように架ける方法です。
特別な外科処置が必要ないというメリットはありますが、両隣の歯を削る必要があったり、支える歯の負担が大きかったり、などのデメリットがあります。
②義歯は、いわゆる入れ歯の事です。保険で治療することができ、歯を削る必要もありませんが、噛む力が天然歯の半分以下になり、見た目も良くなく、物が挟まりやすかったり清掃が手間などのデメリットがあります。
③インプラントについてですが、インプラントとは歯が失われた部分の歯茎(歯根)にネジの様な小さなインプラントを埋め込み、その上に人口の歯を固定する治療方法の事です。
インプラントの材質は身体への影響が少なく、骨との結合に優れる純チタンやチタン合金が使われています。
ブリッジの様に歯を削る必要がなく、義歯の様に噛む力が弱くなるといった事もありません。
3つを比較すると、、インプラント治療一択の様な気がしてきますね。
では、インプラント治療について、より詳しくメリット・デメリットを見てみましょう。
インプラントのメリット、
デメリット
インプラントのメリット
- ①しっかり強く噛むことができる
- ②天然の歯と変わらない様な自然で美しい見た目
- ③他の歯を削ったり、負担をかけるような事がない
- ④歯茎(歯根)が下がり痩せていってしまう事を防げる
- ⑤入れ歯の様な取り外しが不要
- ⑥インプラントは虫歯にならない
義歯に比べてインプラントはしっかり強く噛む事ができます。
また、自然で美しい見た目なので、見た目でインプラントと分かる様な事はなく、会話や飲食の際にお口を開く事に抵抗を感じる事がなくなります。
独立した人工歯根を埋め込む為、他の歯を削ったり負担をかける事はなく、骨が痩せたりする事などもなく健康を保つことが可能です。
入れ歯のように取り外しをする必要もありませんし、インプラントで入れた歯は虫歯になる事もありません。
先程お伝えしたブリッジや義歯と比べて、インプラントは機能性も見た目も優れており、歯があった状態に近い形で生活することができる、非常に効果的な治療である事が分かります。
インプラントのデメリット
- ①金額が高額
- ②外科手術が必要
- ③治療期間が長い
- ④手術後もメンテナンスが必要
インプラントにはメリットだけでなく、デメリットもあるので確認しておきましょう。
先ず、インプラントは保険適用とならない為、治療費が高額になります。平均して1本30~40万円前後します。
治療費については個人で異なりますので、手術前にカウンセリングをしっかり受け、治療費を確認するようにしましょう。デンタルローン等支払い回数や金額を調整する事ができますので、必要に応じて活用すると良いかもしれません。
また、インプラントは顎の骨にインプラントを埋入する為、外科手術が必要です。
麻酔を使用する為、最小限の痛みで治療を受けて頂く事は可能ですが、ブリッジや義歯と比較すると体への負担は大きくなる為、重度の全身疾患をお持ちの方は、治療をお断りする場合があり得ます。
他にも、埋入したインプラントが骨と強く結合するまでに期間を要するため治療期間が長いというデメリットがあります。
個々の症状によって期間は異なりますが、通常4~6ヶ月程度かかります。
手術後も定期的に歯医者へ通い、インプラント歯周炎を予防するケアやチェックが必要になります。
どのような治療にもメリット、デメリットは付きものですので、ご自身の状況やニーズを踏まえ、姫路 溝井歯科医院のインプラントをご検討頂ければと思います。
インプラントの治療方法
では次に具体的にインプラントの治療方法についてご説明します。
治療方法には1回法と2回法の2種類があります。
①1回法は、手術が1回だけの治療方法の事で、歯茎を切開して顎の骨を削り、歯根部を埋め込み、歯根部と人工歯の接続部分のアバットメントを取り付けるまでを一度の手術で行います。
②2回法は、手術が2回ある治療方法で、顎の骨が少なかったり、柔らかかったりした際に歯根部と骨が結合する治療期間を置く為2回法で行なう場合があります。
1回目の手術はインプラントの埋め込みまで、2回目はアバットメントの取り付けまで行います。
現在は1回法が主流ですが、顎の骨の量によっては2回法を行なう場合もあります。
インプラントの治療の流れ
治療方法が分かった所で、インプラントの治療の流れについてもご説明します。
-
Step01 検査
先ずは歯科専用CTを使って神経や血管の位置、骨の傾きやくぼみを確認します。
-
Step02 カウンセリング
患者様の症状を確認する為にカウンセリングを行います。
-
Step03 治療計画
CT結果やカウンセリング内容を元に、治療計画を提案します。
-
Step04 手術
1次手術、ないし2次手術を行います。
2次手術の場合は、手術と手術の間に2~3ヶ月程度治療期間を置く形になります。 -
Step05 人工歯の作製、装着
手術から数週間後に人工歯を作製し、装着します。
-
Step06 メンテナンス
噛み合わせは問題ないか、インプラントの固定に緩みがないかなど、不具合等の確認、チェックを行います。
しっかりカウンセリングを受け治療計画を聞き、納得した上で治療を進めていってください。
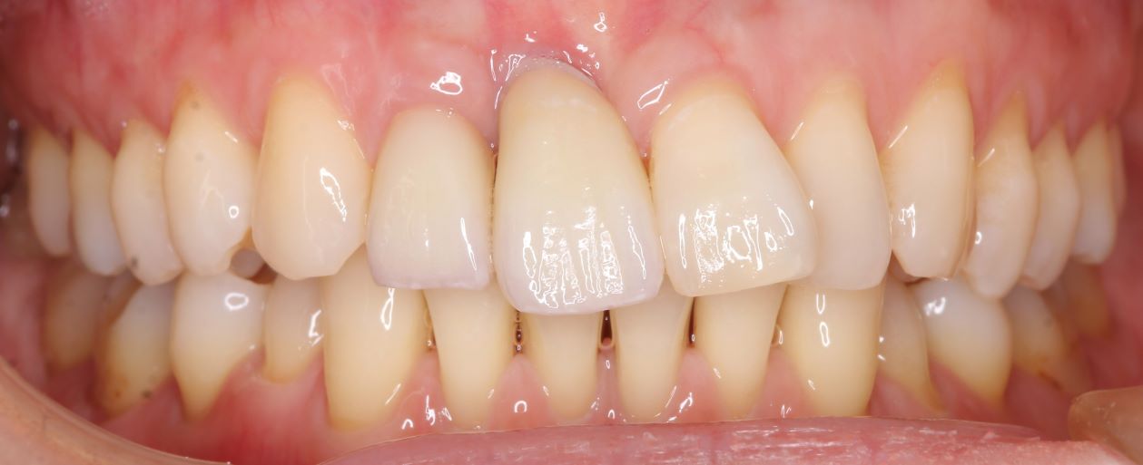
症例
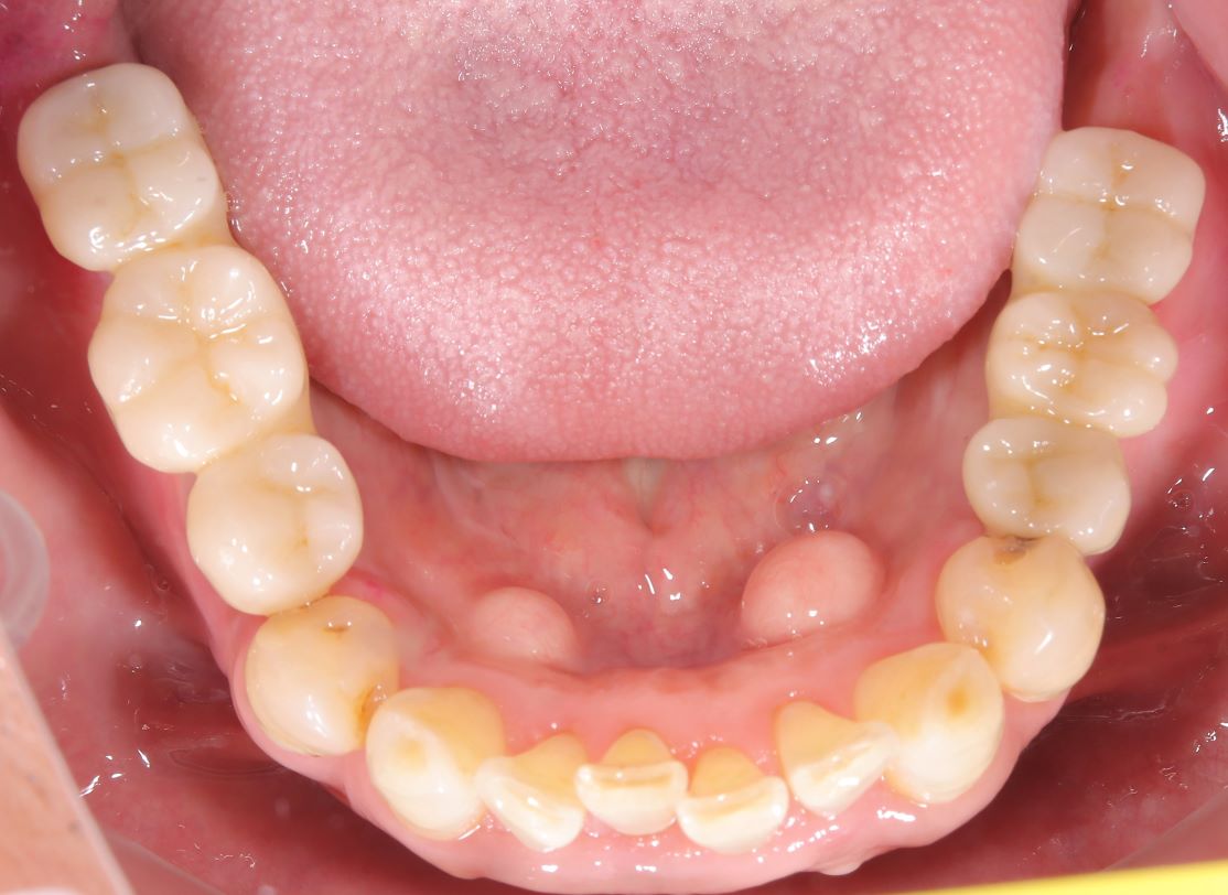
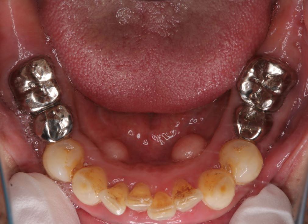
case 01.
BEFORE
AFTER
健康な歯を削ることに抵抗があり、より歯を長く保たせる治療を希望し来院された。
(リスク)
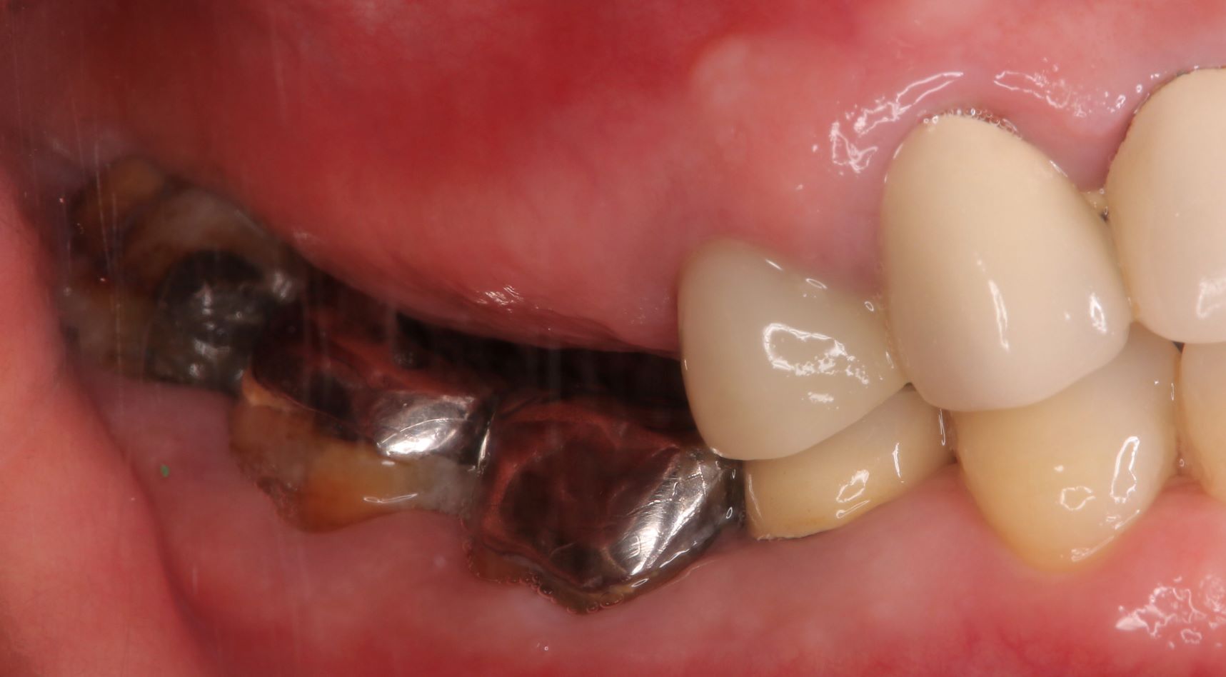
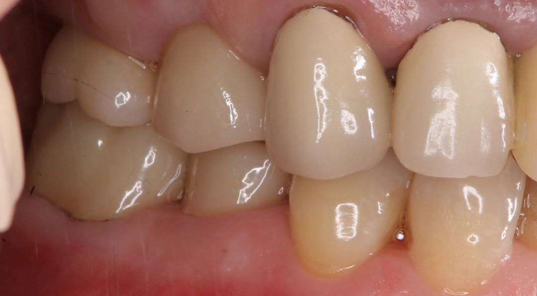
case 02.
BEFORE
AFTER
見た目を重視した治療を希望されている
(リスク)
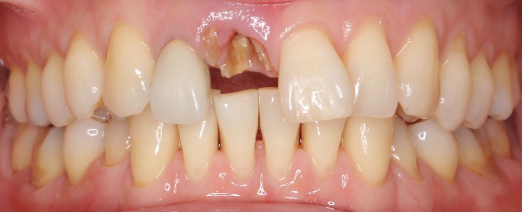
case 03.
BEFORE
AFTER
咀嚼機能の回復を希望し来院された。
(リスク)
料金
| インプラント1本 | |
|---|---|
| 金額(税込) | ¥495,000 |
| 月々の支払い例 | 4,125円〜 |
| デンタルローン | 120回払い |
| CT費用 | 11,000円 |
| 無料相談 | 対応可 ※CT費用は別途 |
インプラントで得られるもの
最後に、インプラント治療で得られるものについてお伝えします。
インプラント治療は失った歯だけでなく、歯があった時の楽しみも取り戻す事ができます。
思い出してみてください。
歯があった時は、何も気にせず笑っていませんでしたか?
発音も安定していて、会話も楽しめていませんでしたか?
ご飯も美味しく食べられて、硬いものも気を遣わず食べられていませんでしたか?
これらをまた得る為には、ブリッジでも義歯でもなく、インプラント治療が必要なのです。
歯があった時は気付きづらいのですが、歯が28本揃っているという事は健康の上でも、生活の上でも、精神的にも幸せな事なのです。
ですので、歯がない方は歯を失ったままにせず、是非、姫路 溝井歯科医院でのインプラント治療をご検討頂き、幸福な人生のためにも、歯と楽しみを取り戻す事を是非一度考えてみてください!
姫路でインプラントなら
溝井歯科へ
歯を失ってしまったことで、食事や会話に不便を感じていませんか?
姫路でインプラント治療をお考えなら、溝井歯科医院がおすすめです。
溝井歯科医院は、姫路駅前に位置し、長年にわたり地域の方々の歯の健康を支えてきた歯科医院です。
最新の設備と技術、そして豊富な経験を持つ歯科医師が、患者様一人ひとりに最適なインプラント治療を提供いたします。
インプラント治療は、チタン製の人工歯根を顎の骨に埋め込み、その上に人工歯を装着する治療法です。
天然歯に近い見た目と機能を回復できるため、まるで自分の歯が戻ってきたかのように感じられます。
溝井歯科医院では、CT撮影などの精密な検査を行い、患者様の顎の骨の状態や神経の位置などを正確に把握することで、安全で確実なインプラント治療計画を立案します。
経験豊富な歯科医師が、清潔な手術室でインプラント埋入手術を行います。
最新の技術と設備を導入し、患者様の負担を最小限に抑えた、安心・安全な手術を提供しています。
姫路でインプラント治療を受けるなら、溝井歯科医院を選ぶメリットはたくさんあります。
JR姫路駅から徒歩圏内という好立地なので、お仕事帰りや買い物のついでにも気軽に立ち寄ることができます。
また、最新のCTスキャンやマイクロスコープなど、精密な診断と治療に必要な設備を完備しています。
そして、何よりも、豊富な経験と実績を持つ歯科医師が、患者様一人ひとりに最適な治療プランをご提案いたします。
治療前にしっかりと時間をかけてカウンセリングを行い、患者様の不安や疑問を解消しますので、安心して治療を受けることができます。
インプラント治療後も、定期的なメンテナンスやクリーニングを行い、インプラントを長持ちさせるためのサポート体制を整えています。
溝井歯科医院のインプラント治療で、快適な食生活を取り戻し、笑顔あふれる毎日を送りませんか?
姫路でインプラント治療をお考えの方は、ぜひ溝井歯科医院にご相談ください。